Задание 11736 ЕГЭ по биологии
КИМ №24
2 часть
Раздел: Ботаника
Тема: Ткани растений
Источник: ФИПИ (Задания реальных экзаменов, В.С. Рохлов)
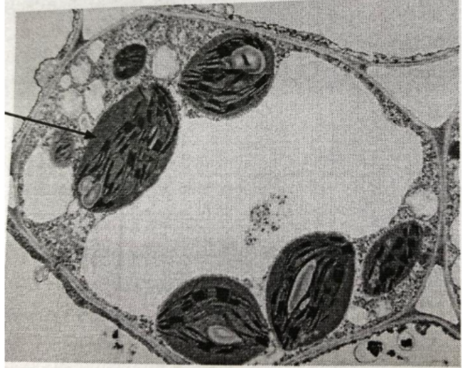
Какой клеточный органоид обозначен на микрофотографии вопросительным знаком? Как будет различаться количество этих органоидов в клетках ассимиляционной ткани и покровной ткани листа? Ответ поясните с учетом особенностей строения и функции каждого типа ткани.
